

货号
产品规格
售价
备注
BN40485R-100ul
100ul
¥2360.00
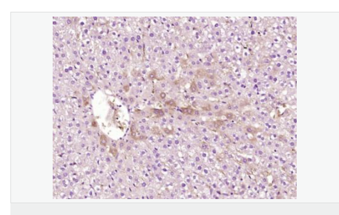
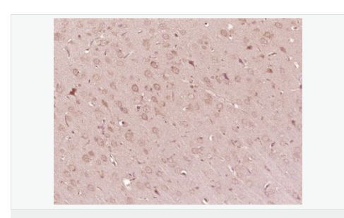
交叉反应:Human,Mouse,Rat(predicted:Chicken,Pig) 推荐应用:WB,IHC-P,IHC-F,IF,ELISA
BN40485R-200ul
200ul
¥3490.00
交叉反应:Human,Mouse,Rat(predicted:Chicken,Pig) 推荐应用:WB,IHC-P,IHC-F,IF,ELISA
产品描述
| 英文名称 | ATP7B |
| 中文名称 | 铜转运蛋白质β链抗体 |
| 别 名 | ATPase Cu++ transporting beta polypeptide; Copper pump 2; Copper transporting ATPase 2; PWD; Toxic milk; tx; WC1; Wilson disease associated protein; WND. |
| 研究领域 | 细胞生物 激酶和磷酸酶 线粒体 |
| 抗体来源 | Rabbit |
| 克隆类型 | Polyclonal |
| 交叉反应 | Mouse, Rat, (predicted: Human, Chicken, Pig, ) |
| 产品应用 | WB=1:500-2000 ELISA=1:5000-10000 IHC-P=1:100-500 IHC-F=1:100-500 IF=1:100-500 (石蜡切片需做抗原修复) not yet tested in other applications. optimal dilutions/concentrations should be determined by the end user. |
| 分 子 量 | 161kDa |
| 细胞定位 | 细胞浆 细胞膜 线粒体 |
| 性 状 | Liquid |
| 浓 度 | 1mg/ml |
| 免 疫 原 | KLH conjugated synthetic peptide derived from human ATP7B:1351-1465/1465 <Cytoplasmic> |
| 亚 型 | IgG |
| 纯化方法 | affinity purified by Protein A |
| 储 存 液 | 0.01M TBS(pH7.4) with 1% BSA, 0.03% Proclin300 and 50% Glycerol. |
| 保存条件 | Shipped at 4℃. Store at -20 °C for one year. Avoid repeated freeze/thaw cycles. |
| PubMed | PubMed |
| 产品介绍 | ATP7b is an important protein for copper transport and elimination of excess copper from the body. ATP7b transports metals in and out of cells using ATP. There are 3 known isoforms of the ATP7b gene; A is found in the liver, kidney, and brain, the shorter form B is found in brain tissue, and the third isoform, known as WND/140 KDA is found in mitochondria. Mutations in the ATP7b gene can cause Wilson's disease, an inherited disorder causing copper poisoning in the brain and liver. Function: Involved in the export of copper out of the cells, such as the efflux of hepatic copper into the bile. Subunit: Monomer. Interacts with COMMD1/MURR1. Subcellular Location: Golgi apparatus, trans-Golgi network membrane; Multi-pass membrane protein. Isoform 2: Cytoplasm. WND/140 kDa: Mitochondrion. Tissue Specificity: Most abundant in liver and kidney and also found in brain. Isoform 2 is expressed in brain but not in liver. The cleaved form WND/140 kDa is found in liver cell lines and other tissues. Post-translational modifications: Isoform 1 may be proteolytically cleaved at the N-terminus to produce the WND/140 kDa form. DISEASE: Defects in ATP7B are the cause of Wilson disease (WD) [MIM:277900]. WD is an autosomal recessive disorder of copper metabolism in which copper cannot be incorporated into ceruloplasmin in liver, and cannot be excreted from the liver into the bile. Copper accumulates in the liver and subsequently in the brain and kidney. The disease is characterized by neurologic manifestations and signs of cirrhosis. Similarity: Belongs to the cation transport ATPase (P-type) (TC 3.A.3) family. Type IB subfamily. Contains 6 HMA domains. SWISS: P35670 Gene ID: 540 Database links: Entrez Gene: 540 Human Omim: 606882 Human SwissProt: P35670 Human Unigene: 492280 Human Important Note: This product as supplied is intended for research use only, not for use in human, therapeutic or diagnostic applications. 铜转运蛋白质β链是铜转运蛋白质家族中的一种,可调节细胞内铜离子水平的铜转运P型三磷酸腺苷酶,ATP7B是生物体内广泛存在的一种极为重要的细胞膜上的酶,它的功能主要是维持细胞内外的离子及渗透压平衡、跨膜电化学和细胞的能量代谢. |


