

货号
产品规格
售价
备注
BN40535R-100ul
100ul
¥2360.00
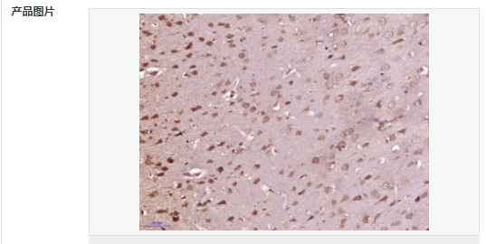
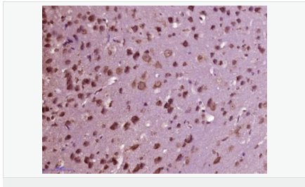
交叉反应:Mouse,Rat(predicted:Human,Pig,Horse) 推荐应用:IHC-P,IHC-F,ICC,IF,ELISA
BN40535R-200ul
200ul
¥3490.00
交叉反应:Mouse,Rat(predicted:Human,Pig,Horse) 推荐应用:IHC-P,IHC-F,ICC,IF,ELISA
产品描述
| 英文名称 | MDM1 |
| 中文名称 | MDM1蛋白抗体 |
| 别 名 | FLJ95264; MDM 1; Mdm1; Mdm1 nuclear protein homolog (mouse); Mdm1 nuclear protein homolog; MDM1_HUMAN; Mdm4 transformed 3T3 cell double minute 1 p53 binding protein (mouse); Mdm4 transformed 3T3 cell double minute 1 p53 binding protein; Mouse Mdm1 nuclear protein homolog; Nuclear protein double minute 1; Nuclear protein MDM1. |
| 研究领域 | 细胞生物 免疫学 |
| 抗体来源 | Rabbit |
| 克隆类型 | Polyclonal |
| 交叉反应 | Mouse, Rat, (predicted: Human, Pig, Horse, ) |
| 产品应用 | ELISA=1:5000-10000 IHC-P=1:100-500 IHC-F=1:100-500 ICC=1:100-500 IF=1:100-500 (石蜡切片需做抗原修复) not yet tested in other applications. optimal dilutions/concentrations should be determined by the end user. |
| 分 子 量 | 81kDa |
| 细胞定位 | 细胞核 |
| 性 状 | Liquid |
| 浓 度 | 1mg/ml |
| 免 疫 原 | KLH conjugated synthetic peptide derived from human MDM1:81-180/714 |
| 亚 型 | IgG |
| 纯化方法 | affinity purified by Protein A |
| 储 存 液 | 0.01M TBS(pH7.4) with 1% BSA, 0.03% Proclin300 and 50% Glycerol. |
| 保存条件 | Shipped at 4℃. Store at -20 °C for one year. Avoid repeated freeze/thaw cycles. |
| PubMed | PubMed |
| 产品介绍 | This gene encodes a nuclear protein similar to the mouse double minute 1 protein. The mouse gene is located in double minute (DM) chromatin particles, is amplified in the mouse transformed 3T3 cell line, and the encoded protein is able to bind to p53. Alternatively spliced transcript variants encoding different isoforms have been found for this gene. [provided by RefSeq, Mar 2011] Subcellular Location: Nucleus. Similarity: Belongs to the MDM1 family. SWISS: Q8TC05 Gene ID: 56890 Database links: Entrez Gene: 56890 Human Entrez Gene: 17245 Mouse Entrez Gene: 557148 Zebrafish Omim: 613813 Human SwissProt: Q8TC05 Human SwissProt: Q9D067 Mouse SwissProt: Q5RHU7 Zebrafish Unigene: 655702 Human Unigene: 101191 Mouse Unigene: 442618 Mouse Unigene: 162942 Rat Unigene: 65799 Zebrafish Important Note: This product as supplied is intended for research use only, not for use in human, therapeutic or diagnostic applications. |

