

货号
产品规格
售价
备注
BN40536R-100ul
100ul
¥2360.00
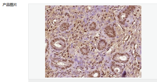
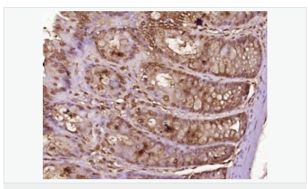
交叉反应:Human,Mouse,Rat(predicted:Dog,Pig,Cow,Horse,Rabbit,Sheep,Rhesus monkey, Gorilla, Catfish, Orangutan, Platypus) 推荐应用:IHC-P,IHC-F,ICC,IF
BN40536R-200ul
200ul
¥3490.00
交叉反应:Human,Mouse,Rat(predicted:Dog,Pig,Cow,Horse,Rabbit,Sheep,Rhesus monkey, Gorilla, Catfish, Orangutan, Platypus) 推荐应用:IHC-P,IHC-F,ICC,IF
产品描述
| 英文名称 | MED18 |
| 中文名称 | MED18蛋白抗体 |
| 别 名 | FLJ20045; hMED 18; hMED18; Human Mediator of RNA Polymerase II Transcription; MED 18; med18; MED18_HUMAN; Mediator complex subunit 18; Mediator of RNA polymerase II transcription subunit 18; Mediator of RNA polymerase II transcription subunit 18 homolog; OTTHUMP00000003645; p28b; TRAP/mediator complex subunit p28b. |
| 研究领域 | 转录调节因子 结合蛋白 表观遗传学 |
| 抗体来源 | Rabbit |
| 克隆类型 | Polyclonal |
| 交叉反应 | Human, Mouse, Rat, (predicted: Dog, Pig, Cow, Horse, Rabbit, Sheep, Rhesus monkey, Gorilla, Catfish, Orangutan, Platypus) |
| 产品应用 | IHC-P=1:100-500 IHC-F=1:100-500 ICC=1:100-500 IF=1:100-500 (石蜡切片需做抗原修复) not yet tested in other applications. optimal dilutions/concentrations should be determined by the end user. |
| 分 子 量 | 24kDa |
| 细胞定位 | 细胞核 |
| 性 状 | Liquid |
| 浓 度 | 1mg/ml |
| 免 疫 原 | KLH conjugated synthetic peptide derived from human MED18:31-130/208 |
| 亚 型 | IgG |
| 纯化方法 | affinity purified by Protein A |
| 储 存 液 | 0.01M TBS(pH7.4) with 1% BSA, 0.03% Proclin300 and 50% Glycerol. |
| 保存条件 | Shipped at 4℃. Store at -20 °C for one year. Avoid repeated freeze/thaw cycles. |
| PubMed | PubMed |
| 产品介绍 | MED18 is a component of the Mediator complex, which is a coactivator for DNA-binding factors that activate transcription via RNA polymerase II (Sato et al., 2003 [PubMed 12584197]).[supplied by OMIM, Oct 2008] Function: Component of the Mediator complex, a coactivator involved in the regulated transcription of nearly all RNA polymerase II-dependent genes. Mediator functions as a bridge to convey information from gene-specific regulatory proteins to the basal RNA polymerase II transcription machinery. Mediator is recruited to promoters by direct interactions with regulatory proteins and serves as a scaffold for the assembly of a functional preinitiation complex with RNA polymerase II and the general transcription factors. Subcellular Location: Nucleus. Similarity: Belongs to the Mediator complex subunit 18 family. SWISS: Q9BUE0 Gene ID: 54797 Database links: Entrez Gene: 54797 Human Entrez Gene: 67219 Mouse Entrez Gene: 393306 Zebrafish Omim: 612384 Human SwissProt: Q9BUE0 Human SwissProt: Q9CZ82 Mouse Unigene: 479911 Human Unigene: 45929 Mouse Unigene: 19506 Zebrafish Important Note: This product as supplied is intended for research use only, not for use in human, therapeutic or diagnostic applications. |


