

货号
产品规格
售价
备注
BN40564R-100ul
100ul
¥2360.00
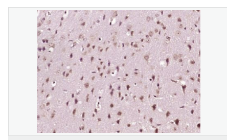
交叉反应:Human,Mouse,Rat(predicted:Dog,Pig,Cow,Horse,Rabbit,Sheep) 推荐应用:WB,IHC-P,IHC-F,ICC,IF
BN40564R-200ul
200ul
¥3490.00
交叉反应:Human,Mouse,Rat(predicted:Dog,Pig,Cow,Horse,Rabbit,Sheep) 推荐应用:WB,IHC-P,IHC-F,ICC,IF
产品描述
| 英文名称 | Nucleobindin 1 |
| 中文名称 | 核结合蛋白NUCB1抗体 |
| 别 名 | CALNUC; FLJ40471; NUC; NUCB 1; NUCB1; NUCB1_HUMAN; Nucleobindin 1; Nucleobindin-1. |
| 研究领域 | 细胞生物 染色质和核信号 信号转导 结合蛋白 |
| 抗体来源 | Rabbit |
| 克隆类型 | Polyclonal |
| 交叉反应 | Human, Mouse, Rat, (predicted: Dog, Pig, Cow, Horse, Rabbit, Sheep, ) |
| 产品应用 | WB=1:500-2000 IHC-P=1:100-500 IHC-F=1:100-500 ICC=1:100-500 IF=1:100-500 (石蜡切片需做抗原修复) not yet tested in other applications. optimal dilutions/concentrations should be determined by the end user. |
| 分 子 量 | 54kDa |
| 细胞定位 | 细胞浆 分泌型蛋白 |
| 性 状 | Liquid |
| 浓 度 | 1mg/ml |
| 免 疫 原 | KLH conjugated synthetic peptide derived from human Nucleobindin 1:21-120/461 |
| 亚 型 | IgG |
| 纯化方法 | affinity purified by Protein A |
| 储 存 液 | 0.01M TBS(pH7.4) with 1% BSA, 0.03% Proclin300 and 50% Glycerol. |
| 保存条件 | Shipped at 4℃. Store at -20 °C for one year. Avoid repeated freeze/thaw cycles. |
| PubMed | PubMed |
| 产品介绍 | This gene encodes a member of a small calcium-binding EF-hand protein family. The encoded protein is thought to have a key role in Golgi calcium homeostasis and Ca(2+)-regulated signal transduction events. [provided by RefSeq, Jun 2010] Function: Major calcium-binding protein of the Golgi. May have a role in calcium homeostasis. Subcellular Location: Golgi apparatus > cis-Golgi network membrane. Cytoplasm. A small fraction of the protein may be cytoplasmic. Tissue Specificity: Expressed both in fetal and adult heart, lung, liver, kidney and brain, and in adult skeletal muscle, placenta and pancreas. Post-translational modifications: Phosphorylated upon DNA damage, probably by ATM or ATR. Similarity: Belongs to the nucleobindin family. Contains 2 EF-hand domains. SWISS: Q02818 Gene ID: 4924 Database links: Entrez Gene: 4924 Human Entrez Gene: 18220 Mouse Omim: 601323 Human SwissProt: Q02818 Human SwissProt: Q02819 Mouse Unigene: 631602 Human Unigene: 258923 Mouse Unigene: 1492 Rat Important Note: This product as supplied is intended for research use only, not for use in human, therapeutic or diagnostic applications. |


