

货号
产品规格
售价
备注
BN40643R-100ul
100ul
¥2360.00
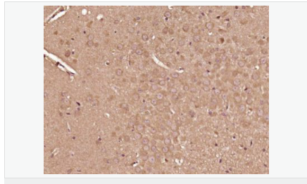
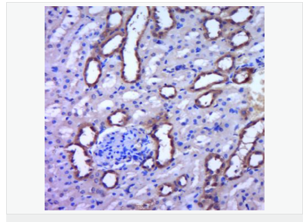
交叉反应:Human,Rat(predicted:Mouse,Horse) 推荐应用:IHC-P,IHC-F,ICC,IF,Flow-Cyt,ELISA
BN40643R-200ul
200ul
¥3490.00
交叉反应:Human,Rat(predicted:Mouse,Horse) 推荐应用:IHC-P,IHC-F,ICC,IF,Flow-Cyt,ELISA
产品描述
| 英文名称 | IRS-2 |
| 中文名称 | 胰岛素受体底物-2抗体 |
| 别 名 | Insulin Receptor Substrate 2; IRS 2; IRS-2; IRS2; IRS2_HUMAN. |
| 研究领域 | 细胞生物 神经生物学 信号转导 细胞凋亡 细胞膜受体 糖尿病 |
| 抗体来源 | Rabbit |
| 克隆类型 | Polyclonal |
| 交叉反应 | Human, Rat, (predicted: Mouse, Horse, ) |
| 产品应用 | ELISA=1:5000-10000 IHC-P=1:100-500 IHC-F=1:100-500 Flow-Cyt=1μg/Test ICC=1:100-500 IF=1:100-500 (石蜡切片需做抗原修复) not yet tested in other applications. optimal dilutions/concentrations should be determined by the end user. |
| 分 子 量 | 146kDa |
| 细胞定位 | 细胞浆 |
| 性 状 | Liquid |
| 浓 度 | 1mg/ml |
| 免 疫 原 | KLH conjugated synthetic peptide derived from human IRS-2:461-560/1338 |
| 亚 型 | IgG |
| 纯化方法 | affinity purified by Protein A |
| 储 存 液 | 0.01M TBS(pH7.4) with 1% BSA, 0.03% Proclin300 and 50% Glycerol. |
| 保存条件 | Shipped at 4℃. Store at -20 °C for one year. Avoid repeated freeze/thaw cycles. |
| PubMed | PubMed |
| 产品介绍 | This gene encodes the insulin receptor substrate 2, a cytoplasmic signaling molecule that mediates effects of insulin, insulin-like growth factor 1, and other cytokines by acting as a molecular adaptor between diverse receptor tyrosine kinases and downstream effectors. The product of this gene is phosphorylated by the insulin receptor tyrosine kinase upon receptor stimulation, as well as by an interleukin 4 receptor-associated kinase in response to IL4 treatment. [provided by RefSeq, Jul 2008] Function: May mediate the control of various cellular processes by insulin. Subunit: Interacts with PHIP. Subcellular Location: Cytoplasm, cytosol. Post-translational modifications: Phosphorylated upon DNA damage, probably by ATM or ATR. Similarity: Contains 1 IRS-type PTB domain. Contains 1 PH domain. SWISS: Q9Y4H2 Gene ID: 8660 Database links: Entrez Gene: 8660 Human Entrez Gene: 384783 Mouse Omim: 600797 Human SwissProt: Q9Y4H2 Human SwissProt: P81122 Mouse Unigene: 442344 Human Unigene: 407207 Mouse Important Note: This product as supplied is intended for research use only, not for use in human, therapeutic or diagnostic applications. IRS-2是肝胰岛素信号转导核心介子,IRS-2基因的缺失或IRS-2信号网络上一些关键信号分子的异常改变,都将导致肝胰岛素信号转导能力减弱,出现肝胰岛素抵抗. |




