

货号
产品规格
售价
备注
BN40837R-100ul
100ul
¥2360.00
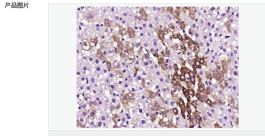
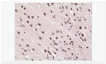
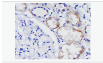
交叉反应:Human,Mouse,Rat(predicted:Pig,Cow,Horse,Rabbit) 推荐应用:IHC-P,IHC-F,IF,ELISA
BN40837R-200ul
200ul
¥3490.00
交叉反应:Human,Mouse,Rat(predicted:Pig,Cow,Horse,Rabbit) 推荐应用:IHC-P,IHC-F,IF,ELISA
产品描述
| 英文名称 | HDAC10 |
| 中文名称 | 组蛋白去乙酰化酶10抗体 |
| 别 名 | HD 10; HD10; HDAC 10; Histone deacetylase 10; MGC149722; OTTHUMP00000028555; DKFZP761B039; HDA10_HUMAN; Histone deacetylase 10; HD10. |
| 研究领域 | 肿瘤 免疫学 发育生物学 信号转导 细胞凋亡 转录调节因子 |
| 抗体来源 | Rabbit |
| 克隆类型 | Polyclonal |
| 交叉反应 | Human, Mouse, Rat, (predicted: Pig, Cow, Horse, Rabbit, ) |
| 产品应用 | ELISA=1:5000-10000 IHC-P=1:100-500 IHC-F=1:100-500 IF=1:100-500 (石蜡切片需做抗原修复) not yet tested in other applications. optimal dilutions/concentrations should be determined by the end user. |
| 分 子 量 | 71kDa |
| 细胞定位 | 细胞核 细胞浆 |
| 性 状 | Liquid |
| 浓 度 | 1mg/ml |
| 免 疫 原 | KLH conjugated synthetic peptide derived from human HDAC10:561-669/669 |
| 亚 型 | IgG |
| 纯化方法 | affinity purified by Protein A |
| 储 存 液 | 0.01M TBS(pH7.4) with 1% BSA, 0.03% Proclin300 and 50% Glycerol. |
| 保存条件 | Shipped at 4℃. Store at -20 °C for one year. Avoid repeated freeze/thaw cycles. |
| PubMed | PubMed |
| 产品介绍 | The enzymes responsible for the reversible acetylation/ deacetylation process of histones are histone acetyltransferases (HATs) and histone deacetylases (HDACs), respectively. HATs act as transcriptional coactivators and HDACs are part of transcriptional corepressor complexes. Mammalian HDACs can be divided into three classes according to sequence homology. Class I consists of the yeast Rpd3 like proteins HDAC1, HDAC2, HDAC3, and HDAC8. Class II consists of the yeast Hda1 like proteins HDAC10, HDAC5, HDAC6, HDAC7, HDAC9, and HDAC10. Class III comprises the yeast Sir2 like proteins. Whereas class I HDACs are ubiquitously expressed, most class II HDACs are tissue specific. HDAC10 is similar to HDAC6, both containing a unique putative second catalytic domain not found in other HDACs. However, this domain is not functional in HDAC10. The deacetylase activity of class II HDACs is regulated by subcellular localization. HDAC10 was localized to both the nucleus and cytoplasm. HDAC10 can deacetylate histones, repress transcription, and interact with HDAC3. Function: Responsible for the deacetylation of lysine residues on the N-terminal part of the core histones (H2A, H2B, H3 and H4). Histone deacetylation gives a tag for epigenetic repression and plays an important role in transcriptional regulation, cell cycle progression and developmental events. Histone deacetylases act via the formation of large multiprotein complexes. Subunit: Interacts with HDAC2, HDAC3 and NCOR2. Subcellular Location: Cytoplasm. Nucleus. Note=Excluded from the nucleoli. Tissue Specificity: Ubiquitous. High expression in liver, spleen, pancreas and kidney. Similarity: Belongs to the histone deacetylase family. HD type 2 subfamily. SWISS: Q969S8 Gene ID: 83933 Database links: Entrez Gene: 83933 Human Entrez Gene: 170787 Mouse Omim: 608544 Human SwissProt: Q969S8 Human SwissProt: Q6P3E7 Mouse Unigene: 26593 Human Unigene: 203954 Mouse Unigene: 107028 Rat Important Note: This product as supplied is intended for research use only, not for use in human, therapeutic or diagnostic applications. |



