

货号
产品规格
售价
备注
BN40856R-100ul
100ul
¥2470.00
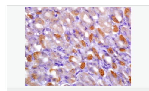
交叉反应:Human,Mouse,Rat(predicted:Chicken,Dog,Pig,Cow,Horse,Rabbit,Sheep) 推荐应用:WB,IHC-P,IHC-F,IF,Flow-Cyt,ELISA
产品描述
| 英文名称 | phospho-CaMK2 alpha (Tyr230) |
| 中文名称 | 磷酸化钙/钙调素依赖蛋白激酶2α抗体 |
| 别 名 | phospho-CaMK2B (Tyr230); CaMK2B (phospho Tyr230); alpha CaMKII; CaMKII alpha; Calcium / Calmodulin Dependent Protein Kinase II G; Calcium calmodulin dependent protein kinase CaM kinase II alpha; Calcium calmodulin dependent protein kinase II alpha-B subunit; Calcium calmodulin dependent protein kinase II; Calcium/calmodulin dependent protein kinase II alpha; Calcium/calmodulin-dependent protein kinase (CaM kinase) II alpha; Calcium/calmodulin-dependent protein kinase II alpha; Calcium/calmodulin-dependent protein kinase II-alpha; Calcium/calmodulin-dependent protein kinase type II subunit alpha; Calcium/calmodulin-dependent protein kinase type IIA; CaM kinase II alpha chain; CaM kinase II alpha subunit; CaM kinase II beta chain; CaM kinase II beta subunit; CaM kinase II delta chain; CaM kinase II delta subunit; CaM kinase II subunit alpha; CAM2; CaMK II alpha subunit; CaMK II beta subunit; CaMK II delta subunit; CaMK-II subunit alpha; CAMK2A; CAMK2B; CAMK2D; CAMKA; CAMKB; CaMKII; EC 2.7.11.17; KIAA0968; MGC123320; MGC139375; MGC155201; mKIAA0968; PK2CDD; PKCCD; R74975; zgc:112538; zgc:123320; KCC2A_HUMAN. |
| 产品类型 | 磷酸化抗体 |
| 研究领域 | 细胞生物 免疫学 信号转导 激酶和磷酸酶 |
| 抗体来源 | Rabbit |
| 克隆类型 | Polyclonal |
| 交叉反应 | Mouse, Rat, (predicted: Human, Chicken, Dog, Pig, Cow, Horse, Rabbit, Sheep, ) |
| 产品应用 | WB=1:500-2000 ELISA=1:5000-10000 IHC-P=1:100-500 IHC-F=1:100-500 IF=1:100-500 (石蜡切片需做抗原修复) not yet tested in other applications. optimal dilutions/concentrations should be determined by the end user. |
| 分 子 量 | 54kDa |
| 细胞定位 | 细胞浆 细胞膜 |
| 性 状 | Liquid |
| 浓 度 | 1mg/ml |
| 免 疫 原 | KLH conjugated Synthesised phosphopeptide derived from human CaMK2 alpha around the phosphorylation site of Tyr231:GA(p-Y)DF |
| 亚 型 | IgG |
| 纯化方法 | affinity purified by Protein A |
| 储 存 液 | 0.01M TBS(pH7.4) with 1% BSA, 0.03% Proclin300 and 50% Glycerol. |
| 保存条件 | Shipped at 4℃. Store at -20 °C for one year. Avoid repeated freeze/thaw cycles. |
| PubMed | PubMed |
| 产品介绍 | Ca2+/CalmodulinDependent Protein Kinase II (CaM Kinase II) is a multifunctional calcium and calmodulindependent protein kinase that mediates cellular responses to a wide variety of intercellular signals. CaM Kinase II has been shown to regulate diverse cellular functions including synaptic plasticity, neurotransmitter synthesis and release, gene expression, ion channel function, carbohydrate metabolism, cytoskeletal function, and Ca2+homeostasis. Phosphorylation of Thr286 on the kinase produces an autonomously active form of CaM Kinase II. Autophosphorylation of Thr305 inhibits the activity CaM Kinase II. Phosphorylation at this site appears to reduce the association of CaM Kinase II with the PSD and reduce LTP and learning. Function: CaM-kinase II (CAMK2) is a prominent kinase in the central nervous system that may function in long-term potentiation and neurotransmitter release. Member of the NMDAR signaling complex in excitatory synapses it may regulate NMDAR-dependent potentiation of the AMPAR and synaptic plasticity. Subunit: CAMK2 is composed of four different chains: alpha, beta, gamma, and delta. The different isoforms assemble into homo- or heteromultimeric holoenzymes composed of 8 to 12 subunits. Interacts with BAALC, MPDZ, SYN1, CAMK2N2 and SYNGAP1. Subcellular Location: Cytoplasm, cytoskeleton. Cytoplasm, cytoskeleton, centrosome. Sarcoplasmic reticulum membrane; Peripheral membrane protein; Cytoplasmic side. Tissue Specificity: Widely expressed. Expressed in adult and fetal brain. Expression is slightly lower in fetal brain. Expressed in skeletal muscle. Similarity: Belongs to the protein kinase superfamily. CAMK Ser/Thr protein kinase family. CaMK subfamily. Contains 1 protein kinase domain. SWISS: Q9UQM7 Gene ID: 815 Database links: Entrez Gene: 815 Human Entrez Gene: 12322 Mouse Omim: 114078 Human SwissProt: Q9UQM7 Human SwissProt: P11798 Mouse Unigene: 725992 Human Unigene: 131530 Mouse Unigene: 107499 Rat Important Note: This product as supplied is intended for research use only, not for use in human, therapeutic or diagnostic applications. |

