

货号
产品规格
售价
备注
BN40875R-100ul
100ul
¥2470.00
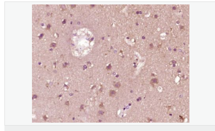
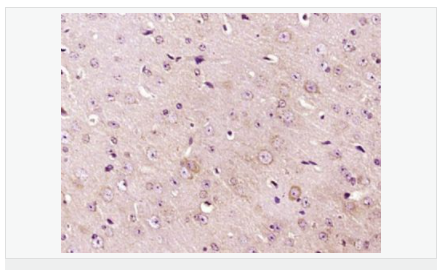
交叉反应:Human,Mouse,Rat(predicted:Pig,Cow,Horse) 推荐应用:WB,IHC-P,ICC,ELISA
产品描述
| 英文名称 | Phospho-IRF7 (Ser471 + Ser472) |
| 中文名称 | 磷酸化干扰素调节因子7抗体 |
| 别 名 | Interferon regulatory factor 7; Interferon regulatory factor 7H; IRF 7; IRF 7A; IRF 7H; IRF7A; IRF7; IRF7H. |
| 产品类型 | 磷酸化抗体 |
| 研究领域 | 肿瘤 信号转导 细胞凋亡 转录调节因子 |
| 抗体来源 | Rabbit |
| 克隆类型 | Polyclonal |
| 交叉反应 | Human, Mouse, Rat, (predicted: Pig, Cow, Horse, ) |
| 产品应用 | WB=1:500-2000 ELISA=1:5000-10000 IHC-P=1:100-500 Flow-Cyt=1ug/test (石蜡切片需做抗原修复) not yet tested in other applications. optimal dilutions/concentrations should be determined by the end user. |
| 分 子 量 | 54kDa |
| 细胞定位 | 细胞核 细胞浆 |
| 性 状 | Liquid |
| 浓 度 | 1mg/ml |
| 免 疫 原 | KLH conjugated synthesised phosphopeptide derived from human IRF7 around the phosphorylation site of Ser471/472:GV(p-S)(p-S)LD |
| 亚 型 | IgG |
| 纯化方法 | affinity purified by Protein A |
| 储 存 液 | 0.01M TBS(pH7.4) with 1% BSA, 0.03% Proclin300 and 50% Glycerol. |
| 保存条件 | Shipped at 4℃. Store at -20 °C for one year. Avoid repeated freeze/thaw cycles. |
| PubMed | PubMed |
| 产品介绍 | IRF7 encodes interferon regulatory factor 7, a member of the interferon regulatory transcription factor (IRF) family. IRF7 has been shown to play a role in the transcriptional activation of virus-inducible cellular genes, including interferon beta chain genes. Inducible expression of IRF7 is largely restricted to lymphoid tissue. Multiple IRF7 transcript variants have been identified, although the functional consequences of these have not yet been established. [provided by RefSeq, Jul 2008] Function: Transcriptional activator. Binds to the interferon-stimulated response element (ISRE) in IFN promoters and in the Q promoter (Qp) of EBV nuclear antigen 1 (EBNA1). Functions as a molecular switch for antiviral activity. Activated by phosphorylation in response to infection. Activation leads to nuclear retention, DNA binding, and derepression of transactivation ability. Subunit: Homodimer. Subcellular Location: Nucleus. Cytoplasm. The phosphorylated and active form accumulates selectively in the nucleus. Tissue Specificity: Expressed predominantly in spleen, thymus and peripheral blood leukocytes. Post-translational modifications: In response to a viral infection, phosphorylated on the C-terminal serine cluster. Phosphorylation, and subsequent activation is inhibited by vaccinia virus protein E3. TRAF6-mediated ubiquitination is required for IRF7 activation. Similarity: Belongs to the IRF family. Contains 1 IRF tryptophan pentad repeat DNA-binding domain. SWISS: Q92985 Gene ID: 3665 Database links: Entrez Gene: 3665 Human Entrez Gene: 54123 Mouse Omim: 605047 Human SwissProt: Q92985 Human SwissProt: P70434 Mouse Unigene: 166120 Human Unigene: 3233 Mouse Unigene: 101159 Rat Important Note: This product as supplied is intended for research use only, not for use in human, therapeutic or diagnostic applications. |






