

货号
产品规格
售价
备注
BN41069R-100ul
100ul
¥2470.00
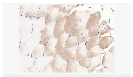
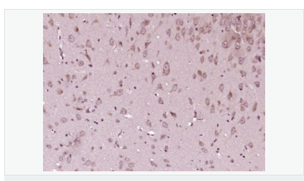
交叉反应:Human,Mouse,Rat(predicted:Dog,Pig,Cow,Horse,Rabbit,Sheep,GuineaPig) 推荐应用:WB,IHC-P,IHC-F,IF,Flow-Cyt,ELISA
产品描述
| 英文名称 | phospho-CDKN1B (Thr198) |
| 中文名称 | 磷酸化P27抗体/周期素依赖激酶抑制剂抗体 |
| 别 名 | p27 KIP 1 (phospho T198); p-p27 KIP 1 (phospho T198);p27Kip1(Phospho-Thr198); p-p27Kip1(Thr198); p-p27Kip1(198); CDN1B_HUMAN; AA408329; AI843786; Cdki1b; CDKN 1B; CDKN 4; CDKN1B; CDKN1B; CDKN4; CDKN4; Cyclin Dependent Kinase Inhibitor 1B; Cyclin Dependent Kinase Inhibitor 1B; Cyclin dependent kinase inhibitor p27; Cyclin dependent kinase inhibitor p27; Cyclin-dependent kinase inhibitor 1B (p27, Kip1); Cyclin-dependent kinase inhibitor 1B; Cyclin-dependent kinase inhibitor p27; Cyclin-dependent kinase inhibitor p27 Kip1; KIP 1; KIP1; MEN1B; MEN4; OTTHUMP00000195098; OTTHUMP00000195099; p27; p27 Kip1; P27-like cyclin-dependent kinase inhibitor; P27KIP1. |
| 产品类型 | 磷酸化抗体 |
| 研究领域 | 免疫学 细胞周期蛋白 |
| 抗体来源 | Rabbit |
| 克隆类型 | Polyclonal |
| 交叉反应 | Human, Mouse, Rat, (predicted: Dog, Pig, Cow, Horse, Rabbit, Sheep, Guinea Pig, ) |
| 产品应用 | WB=1:500-2000 ELISA=1:5000-10000 IHC-P=1:100-500 IHC-F=1:100-500 Flow-Cyt=1μg/Test ICC=1:100-500 IF=1:100-500 (石蜡切片需做抗原修复) not yet tested in other applications. optimal dilutions/concentrations should be determined by the end user. |
| 分 子 量 | 22kDa |
| 细胞定位 | 细胞核 细胞浆 |
| 性 状 | Liquid |
| 浓 度 | 1mg/ml |
| 免 疫 原 | KLH conjugated synthesised phosphopeptide derived from human CDKN1B/P27kip1 around the phosphorylation site of Thr198:RQ(p-T) |
| 亚 型 | IgG |
| 纯化方法 | affinity purified by Protein A |
| 储 存 液 | 0.01M TBS(pH7.4) with 1% BSA, 0.03% Proclin300 and 50% Glycerol. |
| 保存条件 | Shipped at 4℃. Store at -20 °C for one year. Avoid repeated freeze/thaw cycles. |
| PubMed | PubMed |
| 产品介绍 | This gene encodes a cyclin-dependent kinase inhibitor, which shares a limited similarity with CDK inhibitor CDKN1A/p21. The encoded protein binds to and prevents the activation of cyclin E-CDK2 or cyclin D-CDK4 complexes, and thus controls the cell cycle progression at G1. The degradation of this protein, which is triggered by its CDK dependent phosphorylation and subsequent ubiquitination by SCF complexes, is required for the cellular transition from quiescence to the proliferative state. [provided by RefSeq, Jul 2008] Function: Important regulator of cell cycle progression. Involved in G1 arrest. Potent inhibitor of cyclin E- and cyclin A-CDK2 complexes. Forms a complex with cyclin type D-CDK4 complexes and is involved in the assembly, stability, and modulation of CCND1-CDK4 complex activation. Acts either as an inhibitor or an activator of cyclin type D-CDK4 complexes depending on its phosphorylation state and/or stoichometry. Subunit: Forms a ternary compex with CCNE1/CDK2/CDKN1B. Subcellular Location: Nucleus. Cytoplasm. Endosome. Note=Nuclear and cytoplasmic in quiescent cells. AKT-or RSK-mediated phosphorylation on Thr-198, binds 14-3-3, translocates to the cytoplasm and promotes cell cycle progression. Mitogen-activated UHMK1 phosphorylation on Ser-10 also results in translocation to the cytoplasm and cell cycle progression. Phosphorylation on Ser-10 facilitates nuclear export. Translocates to the nucleus on phosphorylation of Tyr-88 and Tyr-89. Colocalizes at the endosome with SNX6; this leads to lysosomal degradation. Tissue Specificity: Expressed in all tissues tested. Highest levels in skeletal muscle, lowest in liver and kidney. Post-translational modifications: Phosphorylated; phosphorylation occurs on serine, threonine and tyrosine residues. Phosphorylation on Ser-10 is the major site of phosphorylation in resting cells, takes place at the G(0)-G(1) phase and leads to protein stability. Phosphorylation on other sites is greatly enhanced by mitogens, growth factors, cMYC and in certain cancer cell lines. The phosphorylated form found in the cytoplasm is inactivate. Phosphorylation on Thr-198 is required for interaction with 14-3-3 proteins. Phosphorylation on Thr-187, by CDK2 leads to protein ubiquitination and proteasomal degradation. Tyrosine phosphorylation promotes this process. Phosphorylation by PKB/AKT1 can be suppressed by LY294002, an inhibitor of the catalytic subunit of PI3K. Phosphorylation on Tyr-88 and Tyr-89 has no effect on binding CDK2, but is required for binding CDK4. Dephosphorylated on tyrosine residues by G-CSF. Ubiquitinated; in the cytoplasm by the KPC complex (composed of RNF123/KPC1 and UBAC1/KPC2) and, in the nucleus, by SCF(SKP2). The latter requires prior phosphorylation on Thr-187. Ubiquitinated; by a TRIM21-containing SCF(SKP2)-like complex; leads to its degradation. DISEASE: Defects in CDKN1B are the cause of multiple endocrine neoplasia type 4 (MEN4) [MIM:610755]. Multiple endocrine neoplasia (MEN) syndromes are inherited cancer syndromes of the thyroid. MEN4 is a MEN-like syndrome with a phenotypic overlap of both MEN1 and MEN2. Similarity: Belongs to the CDI family. SWISS: P46527 Gene ID: 1027 Database links: Entrez Gene: 1027 Human Entrez Gene: 12576 Mouse Omim: 600778 Human SwissProt: P46527 Human SwissProt: P46414 Mouse Unigene: 238990 Human Unigene: 2958 Mouse Important Note: This product as supplied is intended for research use only, not for use in human, therapeutic or diagnostic applications. P27蛋白是一种新发现的周期素依赖激酶抑制剂,属于细胞周期的负性调控因子。P27基因及其产物的异常表达可能与某些肿瘤的发生、发展有着密切的关系。P27蛋白对细胞周期的调控及在肿瘤中发挥着很重要的作用。 |



