

货号
产品规格
售价
备注
BN41073R-100ul
100ul
¥2470.00
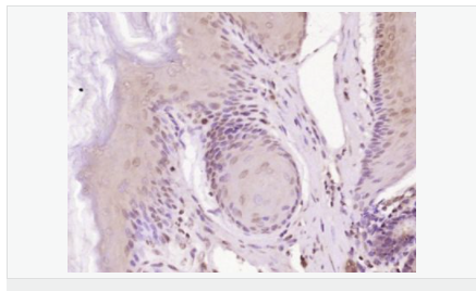
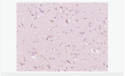
交叉反应:Human,Mouse,Rat(predicted:Pig,Cow,Horse,Rabbit) 推荐应用:WB,IHC-P,IHC-F,ICC,IF,ELISA
产品描述
| 英文名称 | phospho-EGFR (Tyr1110) |
| 中文名称 | 磷酸化表皮生长因子受体抗体 |
| 别 名 | EGFR (phospho Y1110); p-EGFR (phospho Y1110); EGFR(phospho-Tyr1110); EGFR; Avian erythroblastic leukemia viral (v erb b) oncogene homolog; Avian erythroblastic leukemia viral (verbb) oncogene homolog; Cell growth inhibiting protein 40; Cell proliferation inducing protein 61; EGF R; EGFR; Epidermal growth factor receptor (avian erythroblastic leukemia viral (v erb b) oncogene homolog); Epidermal growth factor receptor (erythroblastic leukemia viral (v erb b) oncogene homolog avian); Epidermal growth factor receptor; erbb 1; Erbb; Erbb1; HER1; mENA; Oncogene ERBB; PIG61; Receptor tyrosine protein kinase ErbB 1; Receptor tyrosine protein kinase ErbB1; Urogastrone; wa2; Wa5; EGFR_HUMAN. |
| 产品类型 | 磷酸化抗体 |
| 研究领域 | 肿瘤 免疫学 生长因子和激素 转录调节因子 |
| 抗体来源 | Rabbit |
| 克隆类型 | Polyclonal |
| 交叉反应 | Human, Mouse, Rat, (predicted: Pig, Cow, Horse, Rabbit, ) |
| 产品应用 | WB=1:500-2000 ELISA=1:5000-10000 IHC-P=1:100-500 IHC-F=1:100-500 ICC=1:100 IF=1:100-500 (石蜡切片需做抗原修复) not yet tested in other applications. optimal dilutions/concentrations should be determined by the end user. |
| 分 子 量 | 134kDa |
| 细胞定位 | 细胞核 细胞浆 细胞膜 分泌型蛋白 |
| 性 状 | Liquid |
| 浓 度 | 1mg/ml |
| 免 疫 原 | KLH conjugated Synthesised phosphopeptide derived from human EGFR around the phosphorylation site of Tyr1110:PV(p-Y)HN |
| 亚 型 | IgG |
| 纯化方法 | affinity purified by Protein A |
| 储 存 液 | 0.01M TBS(pH7.4) with 1% BSA, 0.03% Proclin300 and 50% Glycerol. |
| 保存条件 | Shipped at 4℃. Store at -20 °C for one year. Avoid repeated freeze/thaw cycles. |
| PubMed | PubMed |
| 产品介绍 | The protein encoded by this gene is a transmembrane glycoprotein that is a member of the protein kinase superfamily. This protein is a receptor for members of the epidermal growth factor family. EGFR is a cell surface protein that binds to epidermal growth factor. Binding of the protein to a ligand induces receptor dimerization and tyrosine autophosphorylation and leads to cell proliferation. Mutations in this gene are associated with lung cancer. Multiple alternatively spliced transcript variants that encode different protein isoforms have been found for this gene. [provided by RefSeq, Jul 2010] Function: Receptor tyrosine kinase binding ligands of the EGF family and activating several signaling cascades to convert extracellular cues into appropriate cellular responses. Known ligands include EGF, TGFA/TGF-alpha, amphiregulin, epigen/EPGN, BTC/betacellulin, epiregulin/EREG and HBEGF/heparin-binding EGF. Ligand binding triggers receptor homo- and/or heterodimerization and autophosphorylation on key cytoplasmic residues. The phosphorylated receptor recruits adapter proteins like GRB2 which in turn activates complex downstream signaling cascades. Activates at least 4 major downstream signaling cascades including the RAS-RAF-MEK-ERK, PI3 kinase-AKT, PLCgamma-PKC and STATs modules. May also activate the NF-kappa-B signaling cascade. Also directly phosphorylates other proteins like RGS16, activating its GTPase activity and probably coupling the EGF receptor signaling to the G protein-coupled receptor signaling. Also phosphorylates MUC1 and increases its interaction with SRC and CTNNB1/beta-catenin. Isoform 2 may act as an antagonist of EGF action. Subunit: Binding of the ligand triggers homo- and/or heterodimerization of the receptor triggering its autophosphorylation. Heterodimer with ERBB2. Interacts with ERRFI1; inhibits dimerization of the kinase domain and autophosphorylation. Part of a complex with ERBB2 and either PIK3C2A or PIK3C2B. Interacts with GRB2; an adapter protein coupling the receptor to downstream signaling pathways. Interacts with GAB2; involved in signaling downstream of EGFR. Interacts with STAT3; mediates EGFR downstream signaling in cell proliferation. Interacts with RIPK1; involved in NF-kappa-B activation. Interacts (autophosphorylated) with CBL; involved in EGFR ubiquitination and regulation. Interacts with SOCS5; regulates EGFR degradation through TCEB1- and TCEB2-mediated ubiquitination and proteasomal degradation. Interacts with PRMT5; methylates EGFR and enhances interaction with PTPN6. Interacts (phosphorylated) with PTPN6; inhibits EGFR-dependent activation of MAPK/ERK. Interacts with COPG; essential for regulation of EGF-dependent nuclear transport of EGFR by retrograde trafficking from the Golgi to the ER. Interacts with TNK2; this interaction is dependent on EGF stimulation and kinase activity of EGFR. Interacts with PCNA; positively regulates PCNA. Interacts with PELP1. Interacts with MUC1. Interacts with AP2M1. Interacts with FER. May interact with EPS8; mediates EPS8 phosphorylation. Interacts (via SH2 domains) with GRB2, NCK1 and NCK2. Subcellular Location: Cell membrane; Single-pass type I membrane protein. Endoplasmic reticulum membrane; Single-pass type I membrane protein. Golgi apparatus membrane; Single-pass type I membrane protein. Nucleus membrane; Single-pass type I membrane protein. Endosome. Endosome membrane. Note=In response to EGF, translocated from the cell membrane to the nucleus via Golgi and ER. Endocytosed upon activation by ligand. Isoform 2: Secreted. Tissue Specificity: Ubiquitously expressed. Isoform 2 is also expressed in ovarian cancers. Post-translational modifications: Phosphorylation at Ser-695 is partial and occurs only if Thr-693 is phosphorylated. Phosphorylation at Thr-678 and Thr-693 by PRKD1 inhibits EGF-induced MAPK8/JNK1 activation. Dephosphorylation by PTPRJ prevents endocytosis and stabilizes the receptor at the plasma membrane. Autophosphorylation at Tyr-1197 is stimulated by methylation at Arg-1199 and enhances interaction with PTPN6. Autophosphorylation at Tyr-1092 and/or Tyr-1110 recruits STAT3. Monoubiquitinated and polyubiquitinated upon EGF stimulation; which does not affect tyrosine kinase activity or signaling capacity but may play a role in lysosomal targeting. Polyubiquitin linkage is mainly through 'Lys-63', but linkage through 'Lys-48', 'Lys-11' and 'Lys-29' also occur. Methylated. Methylation at Arg-1199 by PRMT5 positively stimulates phosphorylation at Tyr-1197. DISEASE: Defects in EGFR are associated with lung cancer (LNCR) [MIM:211980]. LNCR is a common malignancy affecting tissues of the lung. The most common form of lung cancer is non-small cell lung cancer (NSCLC) that can be divided into 3 major histologic subtypes: squamous cell carcinoma, adenocarcinoma, and large cell lung cancer. NSCLC is often diagnosed at an advanced stage and has a poor prognosis. Similarity: Belongs to the protein kinase superfamily. Tyr protein kinase family. EGF receptor subfamily. Contains 1 protein kinase domain. SWISS: P00533 Gene ID: 1956 Database links: Entrez Gene: 1956 Human Entrez Gene: 13649 Mouse Omim: 131550 Human SwissProt: P00533 Human SwissProt: Q01279 Mouse Unigene: 488293 Human Unigene: 420648 Mouse Unigene: 439882 Mouse Unigene: 8534 Mouse Unigene: 37227 Rat Important Note: This product as supplied is intended for research use only, not for use in human, therapeutic or diagnostic applications |



