

货号
产品规格
售价
备注
BN41166R-100ul
100ul
¥2360.00
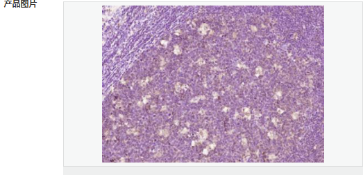
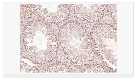
交叉反应:Human,Mouse(predicted:Rat,Dog,Pig,Cow,Rabbit) 推荐应用:WB,IHC-P,IHC-F,IF,ELISA
BN41166R-200ul
200ul
¥3490.00
交叉反应:Human,Mouse(predicted:Rat,Dog,Pig,Cow,Rabbit) 推荐应用:WB,IHC-P,IHC-F,IF,ELISA
产品描述
| 英文名称 | HURP |
| 中文名称 | 肝癌上调蛋白抗体 |
| 别 名 | DAP-5; DAP5; Discs large homolog 7; Disks large associated protein 5; Disks large associated protein DLG7; Disks large-associated protein 5; Disks large-associated protein DLG7; DLG 1; DLG 7; DLG1; DLG7; DLGAP5; DLGP5_HUMAN; Drosophila discs large 1 tumor suppressor like; Hepatoma up regulated protein; Hepatoma up-regulated protein; Hepatoma upregulated protein; HURP. |
| 研究领域 | 肿瘤 免疫学 细胞周期蛋白 |
| 抗体来源 | Rabbit |
| 克隆类型 | Polyclonal |
| 交叉反应 | Human, Mouse, (predicted: Rat, Dog, Pig, Cow, Rabbit, ) |
| 产品应用 | WB=1:500-2000 ELISA=1:5000-10000 IHC-P=1:100-500 IHC-F=1:100-500 IF=1:100-500 (石蜡切片需做抗原修复) not yet tested in other applications. optimal dilutions/concentrations should be determined by the end user. |
| 分 子 量 | 93kDa |
| 细胞定位 | 细胞核 细胞浆 |
| 性 状 | Liquid |
| 浓 度 | 1mg/ml |
| 免 疫 原 | KLH conjugated synthetic peptide derived from human HURP:51-150/846 |
| 亚 型 | IgG |
| 纯化方法 | affinity purified by Protein A |
| 储 存 液 | 0.01M TBS(pH7.4) with 1% BSA, 0.03% Proclin300 and 50% Glycerol. |
| 保存条件 | Shipped at 4℃. Store at -20 °C for one year. Avoid repeated freeze/thaw cycles. |
| PubMed | PubMed |
| 产品介绍 | Potential cell cycle regulator that may play a role in carcinogenesis of cancer cells. Mitotic phosphoprotein regulated by the ubiquitin-proteasome pathway. Key regulator of adherens junction integrity and differentiation that may be involved in CDH1-mediated adhesion and signaling in epithelial cells. Function: Potential cell cycle regulator that may play a role in carcinogenesis of cancer cells. Mitotic phosphoprotein regulated by the ubiquitin-proteasome pathway. Key regulator of adherens junction integrity and differentiation that may be involved in CDH1-mediated adhesion and signaling in epithelial cells. Subunit: Interacts with CDK1. Interacts with the C-terminal proline-rich region of FBXO7. Recruited by FBXO7 to a SCF (SKP1-CUL1-F-box) protein complex in a CDK1/Cyclin B-phosphorylation dependent manner. Interacts with CDH1. Subcellular Location: Nucleus. Cytoplasm. Cytoplasm, cytoskeleton, spindle. Note=Localizes to the spindle in mitotic cells. Colocalizes with CDH1 at sites of cell-cell contact in intestinal epithelial cells. Tissue Specificity: Expressed at low levels in normal resting liver. Up-regulated in regenerating liver after partial hepatectomy. Post-translational modifications: Ubiquitinated, leading to its degradation. Phosphorylated upon DNA damage, probably by ATM or ATR. Decreased phosphorylation levels are associated with the differentiation of intestinal epithelial cells. Similarity: Belongs to the SAPAP family. SWISS: Q15398 Gene ID: 9787 Database links: Entrez Gene: 9787 Human SwissProt: Q15398 Human Unigene: 77695 Human Important Note: This product as supplied is intended for research use only, not for use in human, therapeutic or diagnostic applications |

