

货号
产品规格
售价
备注
BN41177R-100ul
100ul
¥2360.00
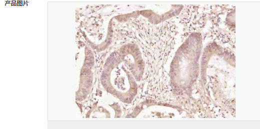
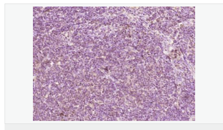
交叉反应:Human(predicted:Mouse,Rat,Dog,Pig,Cow,Horse,Rabbit) 推荐应用:WB,IHC-P,IHC-F,IF,ELISA
BN41177R-200ul
200ul
¥3490.00
交叉反应:Human(predicted:Mouse,Rat,Dog,Pig,Cow,Horse,Rabbit) 推荐应用:WB,IHC-P,IHC-F,IF,ELISA
产品描述
| 英文名称 | IMPDH2 |
| 中文名称 | 5'肌苷磷酸脱氢酶2抗体 |
| 别 名 | IMP (inosine monophosphate) dehydrogenase 2; IMP dehydrogenase 2; IMP oxireductase 2; IMPD 2; IMPD2; IMPDH 2; IMPDH II; IMPDH-II; Impdh2; IMPDHII; Inosine 5' monophosphate dehydrogenase 2; Inosine-5''-monophosphate dehydrogenase 2; IMDH2_HUMAN. |
| 研究领域 | 肿瘤 免疫学 信号转导 生长因子和激素 |
| 抗体来源 | Rabbit |
| 克隆类型 | Polyclonal |
| 交叉反应 | Human, (predicted: Mouse, Rat, Dog, Pig, Cow, Horse, Rabbit, ) |
| 产品应用 | WB=1:500-2000 ELISA=1:5000-10000 IHC-P=1:100-500 IHC-F=1:100-500 IF=1:100-500 (石蜡切片需做抗原修复) not yet tested in other applications. optimal dilutions/concentrations should be determined by the end user. |
| 分 子 量 | 56kDa |
| 细胞定位 | 细胞核 细胞浆 |
| 性 状 | Liquid |
| 浓 度 | 1mg/ml |
| 免 疫 原 | KLH conjugated synthetic peptide derived from human IMPDH2:441-514/514 |
| 亚 型 | IgG |
| 纯化方法 | affinity purified by Protein A |
| 储 存 液 | 0.01M TBS(pH7.4) with 1% BSA, 0.03% Proclin300 and 50% Glycerol. |
| 保存条件 | Shipped at 4℃. Store at -20 °C for one year. Avoid repeated freeze/thaw cycles. |
| PubMed | PubMed |
| 产品介绍 | Rate limiting enzyme in the de novo synthesis of guanine nucleotides and therefore is involved in the regulation of cell growth. It may also have a role in the development of malignancy and the growth progression of some tumors. Function: Catalyzes the conversion of inosine 5'-phosphate (IMP) to xanthosine 5'-phosphate (XMP), the first committed and rate-limiting step in the de novo synthesis of guanine nucleotides, and therefore plays an important role in the regulation of cell growth. Could also have a single-stranded nucleic acid-binding activity and could play a role in RNA and/or DNA metabolism. It may also have a role in the development of malignancy and the growth progression of some tumors. Subunit: Homotetramer. Subcellular Location: Cytoplasm. Nucleus. Tissue Specificity: IMP type I is the main species in normal leukocytes and type II predominates over type I in the tumor. Post-translational modifications: The N-terminus is blocked. Similarity: Belongs to the IMPDH/GMPR family. Contains 2 CBS domains. SWISS: P12268 Gene ID: 3615 Database links: Entrez Gene: 3615 Human Entrez Gene: 23918 Mouse Omim: 146691 Human SwissProt: P12268 Human SwissProt: P24547 Mouse Unigene: 654400 Human Unigene: 6065 Mouse Unigene: 8093 Rat Important Note: This product as supplied is intended for research use only, not for use in human, therapeutic or diagnostic applications. |

