

货号
产品规格
售价
备注
BN41263R-100ul
100ul
¥2360.00
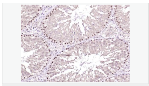
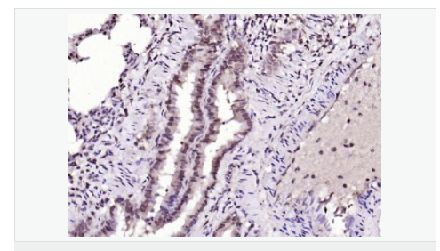
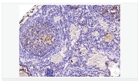
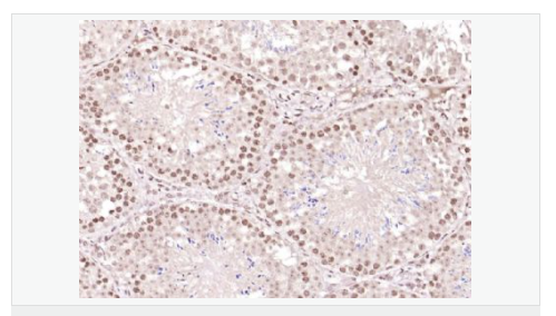
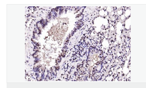
交叉反应:Human,Mouse,Rat(predicted:Dog,Pig,Cow,Horse,Sheep) 推荐应用:IHC-P,IHC-F,IF,ELISA
BN41263R-200ul
200ul
¥3490.00
交叉反应:Human,Mouse,Rat(predicted:Dog,Pig,Cow,Horse,Sheep) 推荐应用:IHC-P,IHC-F,IF,ELISA
产品描述
| 英文名称 | BTG3 |
| 中文名称 | 高表达神经上皮蛋白BTG3抗体 |
| 别 名 | Abundant in neuroepithelium area protein; ANA; BTG family member 3; Btg3; BTG3_HUMAN; Protein BTG3; Protein Tob5; Protein BTG3. |
| 研究领域 | 肿瘤 细胞生物 神经生物学 细胞周期蛋白 |
| 抗体来源 | Rabbit |
| 克隆类型 | Polyclonal |
| 交叉反应 | Human, Mouse, Rat, (predicted: Dog, Pig, Cow, Horse, Sheep, ) |
| 产品应用 | ELISA=1:5000-10000 IHC-P=1:100-500 IHC-F=1:100-500 IF=1:100-500 (石蜡切片需做抗原修复) not yet tested in other applications. optimal dilutions/concentrations should be determined by the end user. |
| 分 子 量 | 29kDa |
| 细胞定位 | 细胞膜 |
| 性 状 | Liquid |
| 浓 度 | 1mg/ml |
| 免 疫 原 | KLH conjugated synthetic peptide derived from human BTG3:1-100/252 |
| 亚 型 | IgG |
| 纯化方法 | affinity purified by Protein A |
| 储 存 液 | 0.01M TBS(pH7.4) with 1% BSA, 0.03% Proclin300 and 50% Glycerol. |
| 保存条件 | Shipped at 4℃. Store at -20 °C for one year. Avoid repeated freeze/thaw cycles. |
| PubMed | PubMed |
| 产品介绍 | The protein encoded by this gene is a member of the BTG/Tob family. This family has structurally related proteins that appear to have antiproliferative properties. This encoded protein might play a role in neurogenesis in the central nervous system. Two transcript variants encoding different isoforms have been found for this gene. [provided by RefSeq, Aug 2008]. Function: Overexpression impairs serum-induced cell cycle progression from the G0/G1 to S phase. Subunit: Interacts with KCNMA1 tetramer. There are probably 4 molecules of KCMNB1 per KCNMA1 tetramer. Subcellular Location: Membrane; Multi-pass membrane protein. Tissue Specificity: Abundantly expressed in smooth muscle. Low levels of expression in most other tissues. Within the brain, relatively high levels found in hippocampus and corpus callosum. Similarity: Belongs to the KCNMB (TC 8.A.14.1) family. KCNMB1 subfamily. SWISS: Q14201 Gene ID: 10950 Database links: Important Note: This product as supplied is intended for research use only, not for use in human, therapeutic or diagnostic applications |










