

货号
产品规格
售价
备注
BN41372R-100ul
100ul
¥2360.00
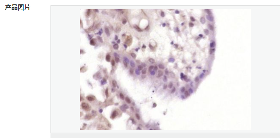
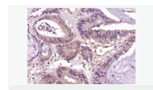
交叉反应:Human(predicted:Mouse,Rat,Chicken,Pig,Cow,Horse) 推荐应用:IHC-P,IHC-F,IF,ELISA
BN41372R-200ul
200ul
¥3490.00
交叉反应:Human(predicted:Mouse,Rat,Chicken,Pig,Cow,Horse) 推荐应用:IHC-P,IHC-F,IF,ELISA
产品描述
| 英文名称 | CDX2+3 |
| 中文名称 | 尾侧型同源转录因子2/3抗体 |
| 别 名 | Caudal type homeo box 2; Caudal type homeo box transcription factor 2; Caudal type homeobox 2; Caudal type homeobox protein 2; caudal type homeobox transcription factor 2; Caudal-type homeobox protein 2; CDX 2; CDX 3; CDX-3; Cdx2; CDX2_HUMAN; CDX3; CDX2+3; Homeobox protein CDX 2; Homeobox protein CDX-2. |
| 研究领域 | 肿瘤 细胞生物 发育生物学 信号转导 干细胞 转录调节因子 表观遗传学 |
| 抗体来源 | Rabbit |
| 克隆类型 | Polyclonal |
| 交叉反应 | Human, (predicted: Mouse, Rat, Chicken, Pig, Cow, Horse, ) |
| 产品应用 | ELISA=1:5000-10000 IHC-P=1:100-500 IHC-F=1:100-500 IF=1:50-200 (石蜡切片需做抗原修复) not yet tested in other applications. optimal dilutions/concentrations should be determined by the end user. |
| 分 子 量 | 34kDa |
| 细胞定位 | 细胞核 |
| 性 状 | Liquid |
| 浓 度 | 1mg/ml |
| 免 疫 原 | KLH conjugated synthetic peptide derived from human CDX2/3:151-260/313 |
| 亚 型 | IgG |
| 纯化方法 | affinity purified by Protein A |
| 储 存 液 | 0.01M TBS(pH7.4) with 1% BSA, 0.03% Proclin300 and 50% Glycerol. |
| 保存条件 | Shipped at 4℃. Store at -20 °C for one year. Avoid repeated freeze/thaw cycles. |
| PubMed | PubMed |
| 产品介绍 | This gene is a member of the caudal-related homeobox transcription factor gene family. The encoded protein is a major regulator of intestine-specific genes involved in cell growth an differentiation. This protein also plays a role in early embryonic development of the intestinal tract. Aberrant expression of this gene is associated with intestinal inflammation and tumorigenesis. [provided by RefSeq, Jan 2012]. Function: Involved in the transcriptional regulation of multiple genes expressed in the intestinal epithelium. Important in broad range of functions from early differentiation to maintenance of the intestinal epithelial lining of both the small and large intestine. Subcellular Location: Nucleus. Post-translational modifications: Phosphorylation of Ser-60 mediates the transactivation capacity. Similarity: Belongs to the Caudal homeobox family. Contains 1 homeobox DNA-binding domain. SWISS: Q99626 Gene ID: 1045 Database links: Entrez Gene: 1045 Human Entrez Gene: 12591 Mouse Omim: 600297 Human SwissProt: Q99626 Human SwissProt: P43241 Mouse Unigene: 174249 Human Unigene: 20358 Mouse Important Note: This product as supplied is intended for research use only, not for use in human, therapeutic or diagnostic applications. |

