

货号
产品规格
售价
备注
BN41383R-100ul
100ul
¥2360.00
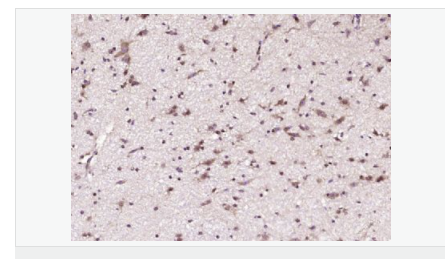
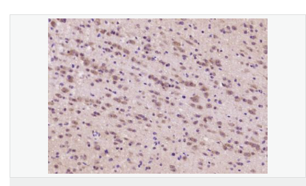
交叉反应:Mouse,Rat(predicted:Human,Dog,Pig,Cow,Rabbit,Sheep) 推荐应用:WB,IHC-P,IHC-F,IF,ELISA
BN41383R-200ul
200ul
¥3490.00
交叉反应:Mouse,Rat(predicted:Human,Dog,Pig,Cow,Rabbit,Sheep) 推荐应用:WB,IHC-P,IHC-F,IF,ELISA
产品描述
| 英文名称 | ANKRD33B |
| 中文名称 | 锚蛋白重复结构域蛋白33B抗体 |
| 别 名 | AN33B_HUMAN; Ankrd33b; Ankyrin repeat domain-containing protein 33B; RGD1564227. |
| 研究领域 | 细胞生物 细胞周期蛋白 |
| 抗体来源 | Rabbit |
| 克隆类型 | Polyclonal |
| 交叉反应 | Mouse, Rat, (predicted: Human, Dog, Pig, Cow, Rabbit, Sheep, ) |
| 产品应用 | WB=1:500-2000 ELISA=1:5000-10000 IHC-P=1:100-500 IHC-F=1:100-500 IF=1:50-200 (石蜡切片需做抗原修复) not yet tested in other applications. optimal dilutions/concentrations should be determined by the end user. |
| 分 子 量 | 54kDa |
| 细胞定位 | 细胞核 细胞浆 |
| 性 状 | Liquid |
| 浓 度 | 1mg/ml |
| 免 疫 原 | KLH conjugated synthetic peptide derived from human ANKRD33B:401-494/494 |
| 亚 型 | IgG |
| 纯化方法 | affinity purified by Protein A |
| 储 存 液 | 0.01M TBS(pH7.4) with 1% BSA, 0.03% Proclin300 and 50% Glycerol. |
| 保存条件 | Shipped at 4℃. Store at -20 °C for one year. Avoid repeated freeze/thaw cycles. |
| PubMed | PubMed |






