

货号
产品规格
售价
备注
BN41461R-50ul
50ul
¥1486.00
交叉反应:Dog,Rat,Mouse,Human(predicted:Sheep,Rabbit,Cow,Pig) 推荐应用:WB,IHC-P,IHC-F,IF,ELISA
BN41461R-100ul
100ul
¥2360.00
交叉反应:Dog,Rat,Mouse,Human(predicted:Sheep,Rabbit,Cow,Pig) 推荐应用:WB,IHC-P,IHC-F,IF,ELISA
BN41461R-200ul
200ul
¥3490.00
交叉反应:Dog,Rat,Mouse,Human(predicted:Sheep,Rabbit,Cow,Pig) 推荐应用:WB,IHC-P,IHC-F,IF,ELISA
产品描述
| 英文名称 | IGF 1 |
| 中文名称 | 胰岛素样生长因子1抗体 |
| 别 名 | IBP1; IGF 1; IGF I; IGF-1;IGF IA; IGF IB; IGF1; IGFI; IGFIA; Insulin like growth factor 1 (somatomedin C); Full=Insulin-like growth factor I; Insulin Like Growth Factor 1; Insulin like growth factor IA; Insulin like growth factor IB; Mechano growth factor; MGF; Mechano growth factor; MGF; Somatomedia C; Somatomedin C; IGF1_HUMAN. |
| 研究领域 | 免疫学 发育生物学 信号转导 生长因子和激素 糖尿病 |
| 抗体来源 | Rabbit |
| 克隆类型 | Polyclonal |
| 交叉反应 | Human, Mouse, Rat, Dog, (predicted: Pig, Cow, Rabbit, Sheep, ) |
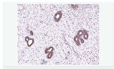
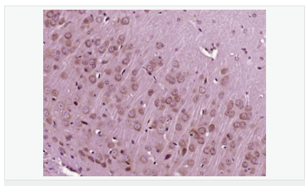
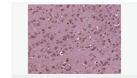
| 产品应用 | WB=1:500-2000 ELISA=1:5000-10000 IP=1:20-100 IHC-P=1:100-500 IHC-F=1:100-500 IF=1:100-500 (石蜡切片需做抗原修复) not yet tested in other applications. optimal dilutions/concentrations should be determined by the end user. |
| 分 子 量 | 7.7/21kDa |
| 细胞定位 | 分泌型蛋白 |
| 性 状 | Liquid |
| 浓 度 | 1mg/ml |
| 免 疫 原 | KLH conjugated synthetic peptide derived from human IGF-1:49-100/195 |
| 亚 型 | IgG |
| 纯化方法 | affinity purified by Protein A |
| 储 存 液 | 0.01M TBS(pH7.4) with 1% BSA, 0.03% Proclin300 and 50% Glycerol. |
| 保存条件 | Shipped at 4℃. Store at -20 °C for one year. Avoid repeated freeze/thaw cycles. |
| PubMed | PubMed |
| 产品介绍 | The protein encoded by this gene is similar to insulin in function and structure and is a member of a family of proteins involved in mediating growth and development. The encoded protein is processed from a precursor, bound by a specific receptor, and secreted. Defects in this gene are a cause of insulin-like growth factor I deficiency. Several transcript variants encoding different isoforms have been found for this gene.[provided by RefSeq, Mar 2009] Function: The insulin-like growth factors, isolated from plasma, are structurally and functionally related to insulin but have a much higher growth-promoting activity. May be a physiological regulator of [1-14C]-2-deoxy-D-glucose (2DG) transport and glycogen synthesis in osteoblasts. Stimulates glucose transport in rat bone-derived osteoblastic (PyMS) cells and is effective at much lower concentrations than insulin, not only regarding glycogen and DNA synthesis but also with regard to enhancing glucose uptake. Subcellular Location: Secreted. DISEASE: Defects in IGF1 are the cause of insulin-like growth factor I deficiency (IGF1 deficiency) [MIM:608747]. IGF1 deficiency is an autosomal recessive disorder characterized by growth retardation, sensorineural deafness and mental retardation. Similarity: Belongs to the insulin family. SWISS: P05019 Gene ID: 3479 Database links: Entrez Gene: 3479 Human Omim: 147440 Human SwissProt: P05019 Human Unigene: 160562 Human Important Note: This product as supplied is intended for research use only, not for use in human, therapeutic or diagnostic applications. 胰岛素样生长因子1(IGF-1)是一种生长调节激素,由肝分泌并入血液循环的中性多肽,具有调节生长和代谢、胰岛素样及促细胞分裂的活性,主要作用于成人。 |



