

货号
产品规格
售价
备注
BN41530R-50ul
50ul
¥1486.00
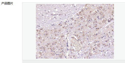
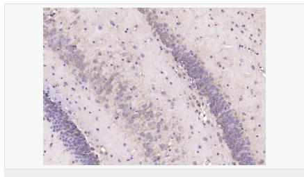
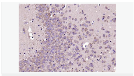
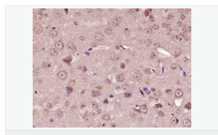
交叉反应:Human,Mouse,Rat(predicted:Dog,Pig,Rabbit,GuineaPig) 推荐应用:IHC-P,IHC-F,IF,ELISA
BN41530R-100ul
100ul
¥2360.00
交叉反应:Human,Mouse,Rat(predicted:Dog,Pig,Rabbit,GuineaPig) 推荐应用:IHC-P,IHC-F,IF,ELISA
BN41530R-200ul
200ul
¥3490.00
交叉反应:Human,Mouse,Rat(predicted:Dog,Pig,Rabbit,GuineaPig) 推荐应用:IHC-P,IHC-F,IF,ELISA
产品描述
| 英文名称 | CRF |
| 中文名称 | 促肾上腺皮质激素释放因子/促肾上皮质激素释放激素抗体 |
| 别 名 | Corticoliberin; Corticoliberin precursor; Corticotropin releasing factor; Corticotropin releasing hormone; Corticotropin releasing hormone deficiency included; crf; crh; crh deficiency included; corticoliberin preproprotein; CRF_HUMAN; Corticotropin-releasing factor; CRH1; CRH; Corticotropin-releasing hormone. |
| 研究领域 | 神经生物学 |
| 抗体来源 | Rabbit |
| 克隆类型 | Polyclonal |
| 交叉反应 | Mouse, Rat, (predicted: Human, Dog, Pig, Rabbit, Guinea Pig, ) |
| 产品应用 | ELISA=1:5000-10000 IHC-P=1:100-500 IHC-F=1:100-500 IF=1:200-800 (石蜡切片需做抗原修复) not yet tested in other applications. optimal dilutions/concentrations should be determined by the end user. |
| 分 子 量 | 5/22kDa |
| 细胞定位 | 分泌型蛋白 |
| 性 状 | Liquid |
| 浓 度 | 1mg/ml |
| 免 疫 原 | KLH conjugated synthetic peptide derived from human CRF:145-185/196 |
| 亚 型 | IgG |
| 纯化方法 | affinity purified by Protein A |
| 储 存 液 | 0.01M TBS(pH7.4) with 1% BSA, 0.03% Proclin300 and 50% Glycerol. |
| 保存条件 | Shipped at 4℃. Store at -20 °C for one year. Avoid repeated freeze/thaw cycles. |
| PubMed | PubMed |
| 产品介绍 | This gene encodes a member of the corticotropin-releasing factor family. The encoded preproprotein is proteolytically processed to generate the mature neuropeptide hormone. In response to stress, this hormone is secreted by the paraventricular nucleus (PVN) of the hypothalamus, binds to corticotropin releasing hormone receptors and stimulates the release of adrenocorticotropic hormone from the pituitary gland. Marked reduction in this protein has been observed in association with Alzheimer's disease. Autosomal recessive hypothalamic corticotropin deficiency has multiple and potentially fatal metabolic consequences including hypoglycemia and hepatitis. In addition to production in the hypothalamus, this protein is also synthesized in peripheral tissues, such as T lymphocytes, and is highly expressed in the placenta. In the placenta it is a marker that determines the length of gestation and the timing of parturition and delivery. A rapid increase in circulating levels of the hormone occurs at the onset of parturition, suggesting that, in addition to its metabolic functions, this protein may act as a trigger for parturition. [provided by RefSeq, Nov 2015] Function: This hormone from hypothalamus regulates the release of corticotropin from pituitary gland. Subunit: Interacts (via C-terminus) with CRFR1 (via N-terminal extracellular domain). Subcellular Location: Secreted. Similarity: Belongs to the sauvagine/corticotropin-releasing factor/urotensin I family. SWISS: P06850 Gene ID: 1392 Database links: Entrez Gene: 1392 Human Entrez Gene: 12918 Mouse Omim: 122560 Human SwissProt: P06850 Human SwissProt: Q8CIT0 Mouse Unigene: 75294 Human Unigene: 290689 Mouse Unigene: 10349 Rat Important Note: This product as supplied is intended for research use only, not for use in human, therapeutic or diagnostic applications. CRF阳性神经元的胞体广泛分布于下丘脑的室旁核、背缝核和蓝斑核,这些区域也是去甲肾上腺素(NE)神经元与5-羟色胺(5-HT)神经元密集的区域。 CRF既具有神经递质的性质又具有神经激素的性质。CRF是联系神经系统与内分泌系统的桥梁,在情感障碍疾患如焦虑和抑郁的发病中发挥重要作用. |








