

货号
产品规格
售价
备注
BN41600R-50ul
50ul
¥1486.00
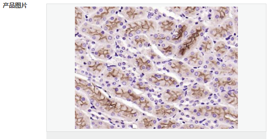
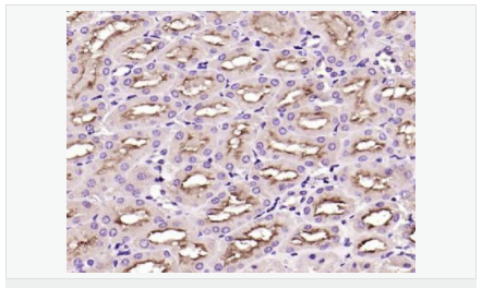
交叉反应:Human,Mouse,Rat(predicted:Dog,Pig,Cow,Horse,Sheep,GuineaPig) 推荐应用:IHC-P,IHC-F,IF,Flow-Cyt,ELISA
BN41600R-100ul
100ul
¥2360.00
交叉反应:Human,Mouse,Rat(predicted:Dog,Pig,Cow,Horse,Sheep,GuineaPig) 推荐应用:IHC-P,IHC-F,IF,Flow-Cyt,ELISA
BN41600R-200ul
200ul
¥3490.00
交叉反应:Human,Mouse,Rat(predicted:Dog,Pig,Cow,Horse,Sheep,GuineaPig) 推荐应用:IHC-P,IHC-F,IF,Flow-Cyt,ELISA
产品描述
| 英文名称 | ET-1 |
| 中文名称 | 内皮素-1抗体 |
| 别 名 | Endothelin-1; Big endothelin 1; EDN 1; EDN1; EDN1 protein; Endothelin1; ET 1; ET1; OTTHUMP00000039245; PPET1; Preproendothelin 1; Preproendothelin1. |
| 研究领域 | 心血管 细胞生物 免疫学 神经生物学 激酶和磷酸酶 |
| 抗体来源 | Rabbit |
| 克隆类型 | Polyclonal |
| 交叉反应 | Human, Mouse, Rat, (predicted: Dog, Pig, Cow, Horse, Sheep, Guinea Pig, ) |
| 产品应用 | ELISA=1:5000-20000 IHC-P=1:100-500 IHC-F=1:100-500 Flow-Cyt=1ug/Test IF=1:100-500 (石蜡切片需做抗原修复) not yet tested in other applications. optimal dilutions/concentrations should be determined by the end user. |
| 分 子 量 | 2.5kDa |
| 细胞定位 | 分泌型蛋白 |
| 性 状 | Liquid |
| 浓 度 | 1mg/ml |
| 免 疫 原 | KLH conjugated synthetic peptide derived from human ET-1(CSCSSLMDKECVYFCHLDIIW Disulfide bridges C1-C15, C3-C11):53-73/202 |
| 亚 型 | IgG |
| 纯化方法 | affinity purified by Protein A |
| 储 存 液 | 0.01M TBS(pH7.4) with 1% BSA, 0.03% Proclin300 and 50% Glycerol. |
| 保存条件 | Shipped at 4℃. Store at -20 °C for one year. Avoid repeated freeze/thaw cycles. |
| PubMed | PubMed |
| 产品介绍 | Endothelins (ET) show potent constrictor activity in vascular and non-vascular smooth muscle. This family of 21-amino acid peptides exists in at least three isoforms - ET-1, ET-2, and ET-3, and is produced in endothelial and epithelial cells. ET's can mediate biological effects in cells and tissues, and have been shown to bind to an ET receptor in the lung, kidney, heart, and liver. Endothelin 1 is expressed in lung, placental stem villi vessels and in cultured placental vascular smooth muscle cells. Function: Endothelins are endothelium-derived vasoconstrictor peptides. Subcellular Location: Secreted. Tissue Specificity: Expressed in lung, placental stem villi vessels and in cultured placental vascular smooth muscle cells. Similarity: Belongs to the endothelin/sarafotoxin family. SWISS: P05305 Gene ID: 1906 Database links: Entrez Gene: 1906 Human Entrez Gene: 13614 Mouse Omim: 131240 Human SwissProt: P05305 Human SwissProt: P22387 Mouse Unigene: 511899 Human Unigene: 713645 Human Unigene: 10918 Rat Important Note: This product as supplied is intended for research use only, not for use in human, therapeutic or diagnostic applications. 内皮素(Endothelin-1,ET)是一种强的血管收缩剂,分为ET-1,ET-2,ET-3 三种,ET-1主要在内皮细胞中表达,而ET-2和ET-3则主要在神经系统中表达。ET具有广泛的生物学作用,此抗体是针对内皮素的活性片段(CSCSSLMDKECVYFCHLDIIW Disulfide bridges C1-C15, C3-C11)。 |


