

货号
产品规格
售价
备注
BN41606R-50ul
50ul
¥1486.00
交叉反应:Rat,Mouse,Human(predicted:Sheep,Cow,Pig,Dog) 推荐应用:WB,IHC-P,IHC-F,ICC,IF,Flow-Cyt,ELISA
BN41606R-100ul
100ul
¥2360.00
交叉反应:Rat,Mouse,Human(predicted:Sheep,Cow,Pig,Dog) 推荐应用:WB,IHC-P,IHC-F,ICC,IF,Flow-Cyt,ELISA
BN41606R-200ul
200ul
¥3490.00
交叉反应:Rat,Mouse,Human(predicted:Sheep,Cow,Pig,Dog) 推荐应用:WB,IHC-P,IHC-F,ICC,IF,Flow-Cyt,ELISA
产品描述
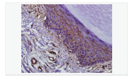
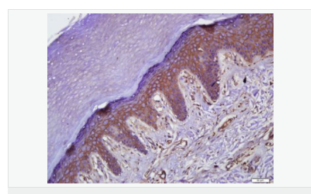
| 英文名称 | Occludin |
| 中文名称 | 紧密连接蛋白抗体 |
| 别 名 | Occludin, Occludin-1; Occludin1; Occludin 1; FLJ08163; BLCPMG; FLJ18079; FLJ77961; FLJ94056; MGC34277; Occludin; OCLN; OCLN_HUMAN; Tight junction protein occludin. |
| 抗体来源 | Rabbit |
| 克隆类型 | Polyclonal |
| 交叉反应 | Human, Mouse, Rat, (predicted: Dog, Pig, Cow, Sheep, ) |
| 产品应用 | WB=1:500-2000 ELISA=1:5000-10000 IHC-P=1:100-500 IHC-F=1:100-500 Flow-Cyt=1μg/Test ICC=1:100 IF=1:100-500 (石蜡切片需做抗原修复) not yet tested in other applications. optimal dilutions/concentrations should be determined by the end user. |
| 分 子 量 | 59kDa |
| 细胞定位 | 细胞膜 |
| 性 状 | Liquid |
| 浓 度 | 1mg/ml |
| 免 疫 原 | KLH conjugated synthetic peptide derived from human Occludin:151-250/522 <Extracellular> |
| 亚 型 | IgG |
| 纯化方法 | affinity purified by Protein A |
| 储 存 液 | 0.01M TBS(pH7.4) with 1% BSA, 0.03% Proclin300 and 50% Glycerol. |
| 保存条件 | Shipped at 4℃. Store at -20 °C for one year. Avoid repeated freeze/thaw cycles. |
| PubMed | PubMed |
| 产品介绍 | This gene encodes an integral membrane protein which is located at tight junctions. This protein may be involved in the formation and maintenance of the tight junction. The possibility of several alternatively spliced products has been suggested but the full nature of these products has not been described. [provided by RefSeq]. Function: May play a role in the formation and regulation of the tight junction (TJ) paracellular permeability barrier. Subunit: Interacts with TJP1/ZO1 and with VAPA. Subcellular Location: Membrane; Multi-pass membrane protein. Cell junction, tight junction. Tissue Specificity: Localized at tight junctions of both epithelial and endothelial cells. Highly expressed in kidney. Not detected in testis. Post-translational modifications: Phosphorylated upon DNA damage, probably by ATM or ATR. Dephosphorylated by PTPRJ. May be phosphorylated by PKC during translocation to cell-cell contacts. Similarity: Belongs to the ELL/occludin family. Contains 1 MARVEL domain. SWISS: Q16625 Gene ID: 100506658 Database links: Entrez Gene: 18260 Mouse Entrez Gene: 100506658 Human Omim: 602876 Human SwissProt: Q16625 Human SwissProt: Q61146 Mouse Unigene: 592605 Human Unigene: 4807 Mouse Unigene: 31429 Rat Important Note: This product as supplied is intended for research use only, not for use in human, therapeutic or diagnostic applications. |








