

货号
产品规格
售价
备注
BN41782R-50ul
50ul
¥1486.00
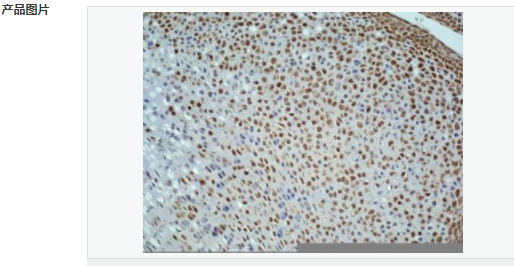
交叉反应:Human,Mouse,Rat 推荐应用:IHC-P,IF,ELISA
BN41782R-100ul
100ul
¥2360.00
交叉反应:Human,Mouse,Rat 推荐应用:IHC-P,IF,ELISA
产品描述
| 英文名称 | Ki-67 |
| 中文名称 | Ki67蛋白抗体 |
| 别 名 | Antigen identified by monoclonal antibody Ki 67; Antigen KI67; KIA; Ki-67; Ki67; MKI67; Proliferation related Ki 67 antigen; Antigen KI-67; KI67_HUMAN. |
| 研究领域 | 肿瘤 细胞生物 信号转导 转录调节因子 |
| 抗体来源 | Rabbit |
| 克隆类型 | Polyclonal |
| 交叉反应 | Human, Mouse, Rabbit, (predicted: Rat, ) |
| 产品应用 | ELISA=1:5000-10000 IHC-P=1:100-500 IHC-F=1:100-500 Flow-Cyt=1μg/Test (石蜡切片需做抗原修复) not yet tested in other applications. optimal dilutions/concentrations should be determined by the end user. |
| 分 子 量 | 358kDa |
| 细胞定位 | 细胞核 |
| 性 状 | Liquid |
| 浓 度 | 1mg/ml |
| 免 疫 原 | KLH conjugated synthetic peptide derived from human Ki67:1201-1300/3256 |
| 亚 型 | IgG |
| 纯化方法 | affinity purified by Protein A |
| 储 存 液 | 0.01M TBS(pH7.4) with 1% BSA, 0.03% Proclin300 and 50% Glycerol. |
| 保存条件 | Shipped at 4℃. Store at -20 °C for one year. Avoid repeated freeze/thaw cycles. |
| PubMed | PubMed |
| 产品介绍 | Proliferation Marker Ki67 antigen is the prototypic cell cycle related nuclear protein, expressed by proliferating cells in all phases of the active cell cycle (G1, S, G2 and M phase). It is absent in resting (G0) cells. Ki67 antibodies are useful in establishing the cell growing fraction in neoplasms (immunohistochemically quantified by determining the number of Ki67 positive cells among the total number of resting cells = Ki67 index). In neoplastic tissues the prognostic value is comparable to the tritiated thymidine labelling index. The correlation between low Ki67 index and histologically low grade tumours is strong. Ki67 is routinely used as a neuronal marker of cell cycling and proliferation. Function: Thought to be required for maintaining cell proliferation. Subcellular Location: Nucleus. Chromosome. Predominantly localized in the G1 phase in the perinucleolar region, in the later phases it is also detected throughout the nuclear interior, being predominantly localized in the nuclear matrix. In mitosis, it is present on all chromosomes. Similarity: Contains 1 FHA domain. SWISS: P46013 Gene ID: 4288 Database links: Entrez Gene: 4288 Human Entrez Gene: 17345 Mouse Omim: 176741 Human SwissProt: P46013 Human SwissProt: Q91VE6 Mouse Unigene: 689823 Human Unigene: 80976 Human Unigene: 4078 Mouse Unigene: 233802 Rat Important Note: This product as supplied is intended for research use only, not for use in human, therapeutic or diagnostic applications. 细胞增殖标志物(Proliferation Marker) Ki67与PCNA一样,为细胞增殖的一种标记,在细胞凋亡中S、G2 、M期均有表达,G0期缺如。 Ki-67增殖指数高低与许多肿瘤的分化程度、浸润、转移以及预后密切相关,因此被广泛作为各种恶性肿瘤的必检项目之一。 |





